Rifa de ASCOL: gana un traje hecho a mano para muñeco newborn
ASCOL te invita a participar en una rifa muy especial, [...]
ASCOL te invita a participar en una rifa muy especial, [...]
El domingo 26 de mayo, nuestra asociación tuvo el placer [...]
El pasado sábado, disfrutamos de una jornada llena de solidaridad [...]
La Sociedad Española de Hematología y Hemoterapia (SEHH) ha solicitado [...]
Durante una jornada del "Itinerario Cicerón" del CSIC en el [...]
Te invitamos cordialmente a participar en el Paseo Solidario XI [...]
Al concluir el año 2023, el Registro Español de Donantes [...]
El miércoles 10 de abril realizamos la Asamblea General Ordinaria [...]
La jornada sobre «Nuevos retos en Oncohematología: Horizonte 2030» concluyó [...]
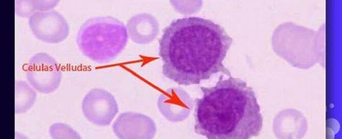
La tricoleucemia, una afección que impacta a los glóbulos blancos [...]